Skip to content Skip to sidebar Skip to footer

Weißer Belag Auf Mandeln

Streptokokken Tonsillitis Deximed

Streptokokken Tonsillitis Deximed

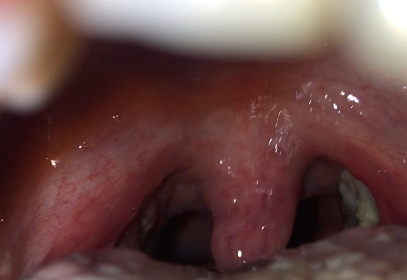
Weißer belag auf mandeln. Entzündung der Mandeln ja oder Nein. Diese Ausscheidung der Mandeln tritt als weißlicher Belag auf und wird vom Laien oft fälschlicher Weise als Mandelentzündung interpretiert. Ebenso gilt dies bei der akuten Mandel- und Rachenentzündung.

Weißer Belag auf den Mandeln ist ein Anzeigen dafür dass sich Eiter gebildet hat. Weißer belag auf mandeln. Bei einem massiven Angriff von Mikroben auf die Mandeln eines Kindes oder Erwachsenen auf den Körper kann ein gelblicher oder weißer Belag auftreten.

Häufig treten belegte Mandeln in Verbindung mit Schmerzen und Fieber auf. Ohne andere Symptome wie Rötung Halsschmerzen und Fieber liegt aber keine Entzündung vor. In den Mandeln bestehen demnach genau aus diesem gerade aufgezählten Gemisch.

Regelmäßig werden die Spalten entleert damit sich neue Bakterien ansiedeln können und das Immunsystem der Mandeln dazulernen kannDiese Ausscheidung der Mandeln tritt als weißlicher Belag auf und wird vom Laien oft fälschlicher Weise als Mandelentzündung interpretiert. Bin aber trotzdem zum HNO dieser war nicht da aber eine Vertretung er sagte das ist nichts schlimmes es ist kein Eiter. Bei leicht zu behandelnden viralen Atemwegsinfektionen sind Antibiotika nicht die beste Medizin.

Weiße Beläge auf den Mandeln entstehen durch Ablagerung von Speiseresten Schleim Zellabfällen oder Eiter in den Furchen der Gaumenmandeln. Hallo ich habe bei meinem Sohn 7 Jahre vor 3 12 Wochen weiße Beläge auf den Mandeln entdeckt er hatte aber weder Halsschmerzen noch Fieber. Mandelsteine Tonsillensteine sind weiß-gelbliche Gebilde die aus verschiedenen Substanzen in den Gaumenmandeln entstehen.

Weißliche Beläge bei Mandel- und Racheninfektion Tonsillopharyngitis Strenge Indikationsstellung für Antibiotika. Doch auch wenn zusätzliche Krankheitssymptome fehlen kann lästiges Fremdkörpergefühl oder unangenehmer Mundgeruch die Betroffenen. Man geht davon aus dass sie in manchen Fällen durch Halsschmerzen hervorgerufen werden.

Am häufigsten wird dieses Phänomen bei Halsschmerzen und Fieber beobachtet. Weiße Punkte unter Nägel für eine Vielzahl von Gründen einschließlich Umweltschutzgründen oder Verletzung des Nagel angezeigt.

Erkrankungen Der Mundhohle Und Des Rachens Oropharynx

Erkrankungen Der Mundhohle Und Des Rachens Oropharynx

Mandelsteine Hno Praxis Dr Weinzierl

Mandelsteine Hno Praxis Dr Weinzierl

Weisser Belag Auf Den Mandeln Aber Keine Mandelentzundung Krankheit

Weisser Belag Auf Den Mandeln Aber Keine Mandelentzundung Krankheit

Minimaler Weisser Belag Auf Mandeln Gesundheit Und Medizin Beruf Korper

Minimaler Weisser Belag Auf Mandeln Gesundheit Und Medizin Beruf Korper

Mandeln Rachen Belag Gesundheit Hals

Mandeln Rachen Belag Gesundheit Hals

Mandelsteine Entfernen Und Vorbeugen

Mandelsteine Entfernen Und Vorbeugen

Mandelsteine Ursache Behandlung Risiken Mooci

Mandelsteine Ursache Behandlung Risiken Mooci

Chronische Gaumenmandelentzundung Mund Hno Atlas Hno Regensburg

Chronische Gaumenmandelentzundung Mund Hno Atlas Hno Regensburg

Angina Mandelentzundung Ihre Apotheke Informiert

Angina Mandelentzundung Ihre Apotheke Informiert

Mandelentzundung Mehr Als Nur Halsschmerzen Horzu

Mandelentzundung Mehr Als Nur Halsschmerzen Horzu

Belegte Mandeln Und Mandelentzundung Naturliche Heilmittel

Belegte Mandeln Und Mandelentzundung Naturliche Heilmittel

Hatte Das Schonmal Jemand Weisser Belag Mandeln Gesundheit Und Medizin Freizeit

Hatte Das Schonmal Jemand Weisser Belag Mandeln Gesundheit Und Medizin Freizeit

Mandelsteine Hno Praxis Dr Weinzierl

Mandelsteine Hno Praxis Dr Weinzierl

Weisse Flecken Auf Der Tonsillen 10 Ursachen Und Naturliche Behandlung

Weisse Flecken Auf Der Tonsillen 10 Ursachen Und Naturliche Behandlung

Mandelentzundung Angina Tonsillaris Tonsillitis Ursachen Beschwerden Diagnose Behandlung Prognose Vorbeugung Gesundmed Medizin Und Gesundheit Im Web

Mandelentzundung Angina Tonsillaris Tonsillitis Ursachen Beschwerden Diagnose Behandlung Prognose Vorbeugung Gesundmed Medizin Und Gesundheit Im Web

Mandelentzundung Streptokokken Angina

Mandelentzundung Streptokokken Angina

Was Ist Das Weisse Im Hals Halsschmerzen Beim Schlucken

Was Ist Das Weisse Im Hals Halsschmerzen Beim Schlucken

Angina Mandelentzundung Tonsillitis

Angina Mandelentzundung Tonsillitis

Chronische Gaumenmandelentzundung Mund Hno Atlas Hno Regensburg

Chronische Gaumenmandelentzundung Mund Hno Atlas Hno Regensburg

Mandeloperation Erfahrungen Mit Bilder

Mandeloperation Erfahrungen Mit Bilder

Mandelentzundung Gesundheitsinformation De

Mandelentzundung Gesundheitsinformation De

Weisser Fleck Auf Mandeln Mit Halsschmerzen Arzt

Weisser Fleck Auf Mandeln Mit Halsschmerzen Arzt

Belegte Zunge Was Die Farbe Des Zungenbelags Bedeutet Liebenswert Magazin

Belegte Zunge Was Die Farbe Des Zungenbelags Bedeutet Liebenswert Magazin

3

3

Gefuhl Von Pickel Im Rachen Daran Liegt S

Gefuhl Von Pickel Im Rachen Daran Liegt S

Mandeloperation Erfahrungen Mit Bilder

Mandeloperation Erfahrungen Mit Bilder

Wenn Du Diese Weissen Blaschen Im Hals Siehst Verschwende Keine Zeit Mehr Und Geh Zum Arzt Youtube

Wenn Du Diese Weissen Blaschen Im Hals Siehst Verschwende Keine Zeit Mehr Und Geh Zum Arzt Youtube

Mandelentzundung Oder Was Konnte Das Sein Medizin Krankheit

Mandelentzundung Oder Was Konnte Das Sein Medizin Krankheit

Mandelsteine Tonsillensteine Erkennen Und Entfernen Onmeda De

Mandelsteine Tonsillensteine Erkennen Und Entfernen Onmeda De

Mandelsteine Und Jetzt Hno Vahle

Mandelsteine Und Jetzt Hno Vahle

Tonsillenstein Wikipedia

Tonsillenstein Wikipedia

Mundkrankheiten Diese Bilder Helfen Beim Erkennen

Mundkrankheiten Diese Bilder Helfen Beim Erkennen

Weisser Zungenbelag Beim Kind Scharlach Erkennungszeichen

Weisser Zungenbelag Beim Kind Scharlach Erkennungszeichen

Mandelentzundung Tonsillitis Symptome Hausmittel Pascoe

Mandelentzundung Tonsillitis Symptome Hausmittel Pascoe

Die Besten Hausmittel Gegen Halsschmerzen

Die Besten Hausmittel Gegen Halsschmerzen

Wie Funktionieren Die Mandeln Gesundheitsinformation De

Wie Funktionieren Die Mandeln Gesundheitsinformation De

Was Sind Weisse Punkte Auf Den Mandeln Mit Bild Medizin Arzt Hals

Was Sind Weisse Punkte Auf Den Mandeln Mit Bild Medizin Arzt Hals

Erkrankungen Der Mundhohle Und Des Rachens Oropharynx

Erkrankungen Der Mundhohle Und Des Rachens Oropharynx

Lage Und Funktion Der Mandeln Mandelentzundung Krankheiten Hno Arzte Im Netz

Lage Und Funktion Der Mandeln Mandelentzundung Krankheiten Hno Arzte Im Netz

Tonsillitis Wikipedia

Tonsillitis Wikipedia

Belegte Mandeln Ein Alarmzeichen

Belegte Mandeln Ein Alarmzeichen

Stomatitis Mundfaule Ursachen Symptome Behandlung

Stomatitis Mundfaule Ursachen Symptome Behandlung

Rote Punkte Und Mandeln Angeschwollen Gesundheit Und Medizin Mandelentzundung Angina

Rote Punkte Und Mandeln Angeschwollen Gesundheit Und Medizin Mandelentzundung Angina

Gaumenmandeln

Gaumenmandeln

Belag Auf Der Zunge Als Eindeutiges Symptom

Belag Auf Der Zunge Als Eindeutiges Symptom

Mandelentzundung Symptome Antibiotika Dauer Was Tun Ansteckend

Mandelentzundung Symptome Antibiotika Dauer Was Tun Ansteckend

Gelbe Zunge Ursachen Behandlung Von Gelbem Zungenbelag

Gelbe Zunge Ursachen Behandlung Von Gelbem Zungenbelag

Diphtherie

Diphtherie

1

1

Sie sind wenige Millimeter groß von meist fester oder krümeliger Konsistenz und können Mundgeruch verursachen.

Weißer belag auf mandeln. Weiße Punkte unter Nägel für eine Vielzahl von Gründen einschließlich Umweltschutzgründen oder Verletzung des Nagel angezeigt. Bei einem massiven Angriff von Mikroben auf die Mandeln eines Kindes oder Erwachsenen auf den Körper kann ein gelblicher oder weißer Belag auftreten. Hauptursachen sind Speisereste Schleim und Bakterien die sich in den Vertiefungen der Mandeln einlagern. Ansonsten sind Mandelsteine harmlos nur selten führen größere Exemplare zu weiteren Beschwerden. Ebenso gilt dies bei der akuten Mandel- und Rachenentzündung. Weiße Flecken auf den Mandeln. Das sieht zwar ein wenig unappetitlich aus ist aber meist ungefährlich und gehört zum Arbeitsprozess. Mandelsteine bestehen nur zu etwa einem Prozent aus Essensresten zu 99 Prozent handelt es sich um weiße abgeschilferte Epithelzellen und.


Entzündung der Mandeln ja oder Nein. Es bilden sich diese weißen Stippen die man Tonsillensteine nennt. Ohne andere Symptome wie Rötung Halsschmerzen und Fieber liegt aber keine Entzündung vor. Die weißen Stellen sind Absonderungen die beim Zersetzen der Nahrung und Bakterien entstehen. Werden sie von den. Bin aber trotzdem zum HNO dieser war nicht da aber eine Vertretung er sagte das ist nichts schlimmes es ist kein Eiter. Diese Ausscheidung der Mandeln tritt als weißlicher Belag auf und wird vom Laien oft fälschlicher Weise als Mandelentzündung interpretiert.

Post a Comment for "Weißer Belag Auf Mandeln"